Logo de Cedens
  • Inicio
  • Servicios
  • Galería de sonrisas
  • Agenda una cita
  • Inicio
  • Servicios
  • Galería de sonrisas
Agenda una cita

Galería de sonrisas

Rehabilitación oral

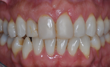
Foto de Reconstrucción post-trauma Foto de Reconstrucción post-trauma

Reconstrucción post-trauma

Paciente con historial de trauma. Se le realiza corona cerámica en diente central y restauración en resina de alta estética a nivel del canino.
Agenda una cita
Foto de Recuperación de sonrisa Foto de Recuperación de sonrisa

Recuperación de sonrisa

Restauración de resinas antiguas en zona anterosuperior reemplazadas por lentes cerámicos.
Agenda una cita

Cedens S.A.S

Consultorio odontológico

Calle 33 #42b-06, Torre Sur piso 11 consultorio 1114 Centro Comercial Sandiego Medellín, Colombia +57 3008142057
De lunes a viernes 8:00 a.m. a 6:00p.m. Sábados 8:00 a.m. a 1:00p.m.
+57 3008142057